Porcelain Veneers and Crowns 2
Porcelain Veneers and Crowns 3
Porcelain Veneers and Crowns 4
Porcelain Crowns 1
Porcelain Crowns 2
Porcelain Crowns 3
Porcelain Crowns 4
Porcelain Crowns 5
Porcelain Crowns 6
Porcelain Crowns 7
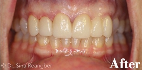
This patient was unhappy with his smile, the shape and color of his front teeth and had large silver fillings with decay and fractures. Porcelain crowns were completed to improve the esthetics and function of the teeth as well as improve the longevity of the health of these teeth. Patient was extremely pleased as we were able to give him a beautiful and a healthy smile.
Pagination
Get a brighter smile today!
Contact us now to schedule your appointment and have the smile you've dreamed about!