Fixed Implant Supported Bridge
Implant Crowns for Missing Lateral Teeth
Cosmetic Implant Crowns and Traditional Crowns
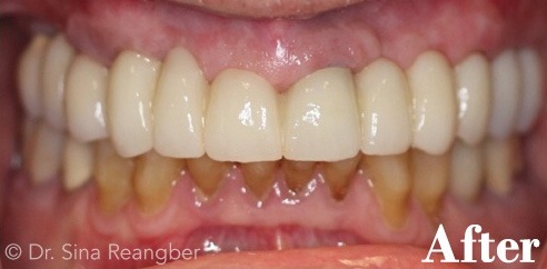
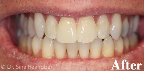
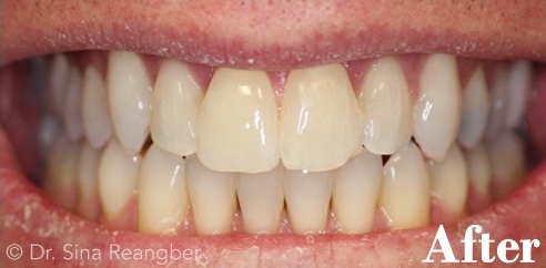
Implant and Porcelain Crowns
This patient was unhappy with his missing teeth as well as the color. Implant and cosmetic porcelain crowns were completed to improve the color, shape and size of his teeth as well as giving him a beautiful smile.
Implant Supported Crowns and Bridges
Bonding on Front Left Tooth and Minor Invisalign Treatment
Dentures 1
Dentures 2
Invisalign 1
Invisalign 2
Pagination
Get a brighter smile today!
Contact us now to schedule your appointment and have the smile you've dreamed about!