What are dental implants?
Dental implants are a procedure that replaces a missing tooth or multiple missing teeth. They are typically recommended when patients need an extraction. For example, if they have a severely broken-down tooth that we can't save anymore, the recommendation most of the time is to take the tooth out by extraction and replace it with a dental implant.
A dental implant is basically a titanium screw that is placed into the jawbone, mimicking the root of a tooth. We then restore it with a crown that goes on top of the dental implant, and when you look at it, it looks just like a tooth. Over time, the titanium post integrates with the bone, creating a sturdy foundation for various dental restorations such as crowns, bridges, or dentures.
What conditions might disqualify a patient from dental implants?
Dental implants are performed thousands of times a day. However, factors that might disqualify a patient include being a very heavy smoker, having uncontrolled diabetes, or having other health conditions that increase bleeding time. These conditions may disqualify a patient.
What are the benefits and risks of a dental implant?
The benefits of a dental implant include replacing a single missing tooth. The implant mimics the root of a tooth and helps stabilize the bone in that area, preventing bone loss where the tooth is missing. It does not affect the adjacent teeth or the tooth beside it and helps maintain the position of the teeth above or below it.
Some risks include it being a surgical procedure, which carries minor risks. Additionally, it takes time; the implant has to be surgically placed and then allowed to heal and integrate with the bone for 3 to 6 months, depending on the bone condition and the patient's health. After healing, it can be restored with a crown, which takes about 3 to 4 weeks to fabricate.
Cost is another factor, although it is similar to a dental bridge. In the long run, it is cheaper than a dental bridge, which typically needs to be redone sooner than an implant.
Are there different types of dental implants?
There are hundreds of types of dental implants on the market, and most are very good. The choice depends on what the doctor or surgeon uses and what works well in their hands. Most implants are made of titanium. There are some zirconia implants, but they are not well-known and are not commonly used. Zirconia implants are typically used for patients with a metal allergy.
However, there have been cases where zirconia implants have broken or cracked, so most surgeons I know do not place zirconia dental implants. The majority are titanium.
Comprehensive Options to Meet Every Need
Our dental implant services are tailored to address the unique needs of each patient, whether you’re missing one tooth or require a full mouth restoration. At LifeTime Smiles, we offer:
- Mini Implants: Ideal for patients who seek a less invasive option or have minimal bone density.
- Single Tooth Implants: Perfect for replacing one missing tooth without affecting neighboring teeth.
- Implant-Supported Bridges: A robust alternative to traditional bridges, these are supported by implants rather than natural teeth.
- Full Mouth Dental Implants: For patients who are missing several or all of their teeth, full mouth solutions can completely restore the functionality and aesthetics of their smile.
- Implant-Retained Dentures: More stable than traditional dentures, these are anchored by implants for improved comfort and chewing ability.
How does a dentist determine whether a dental implant is right for a patient?
If it's a single missing tooth, the best option would be to replace it with a dental implant, especially if the adjacent teeth are 'virgin teeth' with no restorations or fillings. If we do anything else like a bridge, we have to touch those teeth, and every time we touch a tooth, it will have to be redone. The best procedure would be a dental implant.
Another reason for recommending it is that if you have good bone and it's the last tooth in your mouth, the only option would be a dental implant to replace that missing tooth.
What are the steps to getting a dental implant?
First, you need to see the dentist to determine the issue with the problematic tooth. Is it restorable, or does it need to be removed? Is it one tooth or multiple teeth?
Once determined, your doctor or a collaborating surgeon or periodontist will decide the course of action and take the necessary X-rays, sometimes a cone beam CT, to plan the implant placement. They will discuss options for replacing the missing tooth during the healing process, like a temporary implant crown, a flipper, or sometimes a bridge. Often, if it's a back tooth, patients choose not to replace it while healing, but for front teeth, different options are considered.
What are some options for fake teeth or artificial teeth when patients are missing teeth?
There are three main options for missing teeth: dental implants, dental bridges, and partial dentures. Partial dentures can be acrylic (flexible or hard) or metal and acrylic, with hooks or clasps. You can also have a complete denture, which is all fake teeth.
A dental bridge involves preparing the two adjacent teeth with crown preparations and restoring them with a fake tooth in the middle. They are typically connected and cemented onto the teeth.
Lastly, a dental implant is a titanium screw placed inside the jawbone, replacing one or multiple missing teeth on top of it. The type of restoration depends on the number of teeth being replaced.
How long does a dental procedure last?
It depends on many factors, such as the patient's diet, health, medications, oral hygiene habits, and regular dental visits. Brushing and flossing, especially at night, are important. Many factors affect the longevity of dental work in a patient's mouth.
What type of anesthesia can we provide for a dental implant placement procedure?
The most common anesthesia for a single implant is a local anesthetic, like Novocaine. Some patients prefer sedation, which can include IV sedation or medications like Valium for anxiety relief. General dentists can provide these medications, and nitrous oxide is also an option. The choice depends on the number of implants, the procedure duration, and patient preference.
Will dental implants last the rest of the patient's life?
Many factors influence the longevity of a dental implant, including the patient's age at the time of the implant. If you're in your 80s, it may last the rest of your life. If you're in your 20s, issues may arise over the years. Factors like oral hygiene, clenching, and force on the implants affect their longevity. While it can last a lifetime, many factors can influence this.
What are the costs involved with dental implants? Is there financing available at LifeTime Smiles?
Yes, our office offers financing through third-party companies. Many surgeons we work with also offer financing options for procedures like full-mouth reconstruction. The cost depends on the needs and number of implants, but financing options are available.
The LifeTime Smiles Advantage
Choosing LifeTime Smiles for your dental implants means entrusting your care to skilled professionals who are committed to excellence. Here’s why our practice stands out:
- Expertise: Drs. Reangber and Koo possess extensive experience in implant dentistry and are adept at handling complex cases with precision and care.
- Technology: We utilize cutting-edge dental technology to ensure accurate implant placement and optimal results.
- Customization: Each implant treatment plan is customized to meet the specific needs and preferences of our patients, ensuring personalized care.
- Comfort: Our office is designed with your comfort in mind, creating a welcoming and relaxing environment for all your dental needs.
- Convenience: Located at 15234 Washington St, our clinic is easily accessible to residents of both Haymarket and Gainesville, VA.
Schedule Your Consultation Today at LifeTime Smiles
If you’re considering dental implants as a solution for missing teeth, we invite you to schedule a consultation with LifeTime Smiles. During your visit, we’ll discuss your dental history, conduct a thorough examination, and explore the best options for restoring your smile. Our goal is to provide you with a treatment plan that not only improves the function and appearance of your teeth but also enhances your quality of life.
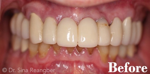
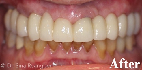
Real Patients, Real Results
LifeTime Smiles – Before and After Images of Patients
Implant and Porcelain Crowns


This patient was unhappy with his missing teeth as well as the color. Implant and cosmetic porcelain crowns were completed to improve the color, shape and size of his teeth as well as giving him a beautiful smile.
Fixed Implant Supported Bridge on Upper Teeth


Join Our Dental Family
At LifeTime Smiles in Haymarket, we’re not just about providing dental treatments; we’re dedicated to building lasting relationships with our patients. We welcome new patients and families seeking comprehensive dental care from experienced professionals who genuinely care about your health and well-being.
Restore your smile and confidence with dental implants from LifeTime Smiles. Whether you’re exploring full-mouth reconstruction or a single-tooth replacement, we have the expertise and technology to help you achieve the results you desire. Call us today at (571) 248-7389 to learn more about our dental implant solutions and start your journey to a healthier, more beautiful smile.