How Dental Crowns Are Used To Restore The Smile
Repairing the smile when problems arise is vital to protect the remaining teeth and avoid future dental work that can be costly and time-consuming. One restoration commonly used in dentistry is that of the dental crown. Drs. Sina Reangber and Scott Koo and the team at LifeTime Smiles offer Haymarket and Gainesville, Virginia area patients’ solutions for the smile. That may include the fabrication and placement of a dental crown, sometimes referred to as porcelain teeth caps.
What Are Porcelain Teeth Caps?
Also known as dental crowns, porcelain teeth caps are strong porcelain restoratives that function as therapeutic and cosmetic dentistry answers. They are used to cover the entire tooth and protect and strengthen it. There are many situations in which our team of professionals may recommend placing a porcelain crown. Crowns are used to:
- Cover chipped and cracked teeth.
- Strengthen weak teeth.
- Hide repairs, like root canal therapy.
- Take the place of a large filling.
- Hide a misshapen tooth.
- Whiten teeth that are stained or discolored.
- Restore function to damaged teeth.
- Serve as a replacement for old or compromised tooth enamel.
The goal of crowns is for them to appear natural. They’re crafted to fit your teeth, including enamel color, form, and size, and they stay comfortably on the diseased tooth. Your crown should be inconspicuous after the bonding procedure so that no one is aware it exists.
What Can I Expect From The Fabrication And Placement Of A Porcelain Dental Crown?
The dental crown is created in a dental laboratory. This laboratory will need information from the dentist to create the perfect crown, including information about the final shape, size, and color of the restoration. Impressions are made after a tooth has been prepared, filed down, and used by the ceramist to develop the final restoration.
Once complete, patients return to the dental practice to have their new crown bonded in place. The entire process from start to finish can take just a week or two to complete.
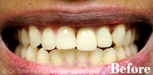
Real Patients, Real Results
LifeTime Smiles – Before and After Images of Patients
Whitening and Porcelain Crowns


Schedule An Appointment At LifeTime Smiles To Learn More
If you are considering tooth restoration solutions and are curious to learn more about ceramic teeth coverage with dental crowns, call (571) 248-7389 to request a consultation with Drs. Sina Reangber and Scott Koo. The facility is conveniently located at 15234 Washington St and is open to new patients and families.