Straighten Your Smile Subtly, Comfortably, And Conveniently With Invisalign
Crooked or crowded teeth can affect aesthetics, oral health, and confidence. Yearning for a straighter smile? Embrace a discreet, convenient solution with Invisalign treatment in Haymarket, Virginia. Expertly administered at LifeTime Smiles, the Invisalign system uses removable, nearly invisible aligners designed to perfect your smile without disrupting your lifestyle. Experience the Invisalign difference today by scheduling an appointment with Drs. Sina Reangber, Scott Koo, and Hoda Kazemifar.
Invisalign is an orthodontic appliance that helps move your teeth into the position we plan for. Invisalign is like braces, but it's a clear plastic designed to move your teeth through a series of aligners. Once we take our digital scan, x-rays, and photos, we submit everything to our Invisalign lab, where we work on the case to make your bite into the ideal position. Invisalign or orthodontic treatment is not always recommended just to make the teeth look nice. That is an added bonus of getting your teeth aligned properly so you can eat, chew, and function for the rest of your life without premature wear and tear on your teeth. Invisalign treatment is not too noticeable compared to metal braces and is shown to move teeth about twice as fast as traditional braces.
The plus side to Invisalign, which I love, is it does not affect what you eat. You can take it out and brush and floss your teeth like normal. When you eat, you take them out, brush and floss your teeth, and then put them back on and go about your day. It's amazing technology that helps you have a beautiful smile and keep your teeth for the rest of your life. Invisalign is beautiful. It works just as well, if not better, than traditional braces.
How Does Invisalign Work?
Invisalign uses a series of transparent, removable aligners created from customized, BPA-free thermoplastic. The aligners apply controlled pressure on your teeth, moving them gradually into straighter, healthier positions.
We plan how to move specific teeth in the specific way needed, and then you get a series of aligners. It could be 10, 20, or 30, depending on what we're trying to accomplish at the end. You also get what's called attachments—little tooth-colored bumps we put on your teeth. They're different shapes and sizes, like a fingerprint, based on the geometric shape of the crown and root of the tooth and the movements we're trying to accomplish.
Conventional attachments are usually squares, either horizontal or vertical. Optimized attachments are amazing; they help move the teeth better than conventional attachments. Invisalign is one of the only companies with these optimized attachments. They help move the teeth beautifully. We can expand the arch even in adults, rotate the tooth or the roots, and move the teeth into the desired positions.
Here’s what you can expect from Invisalign treatment.
- Examination: Your Haymarket dentist uses scans, X-rays, and photos of your teeth to determine your Invisalign eligibility. We’ll also discuss your concerns and treatment expectations.
- Custom design: The dentist uses advanced 3D technology to create a customized treatment plan, mapping out the exact movements of your teeth during treatment.
- Starting treatment: You’ll receive a series of aligners to wear progressively at home. Although they look similar, each aligner is different. Graduate from one aligner to the next every 7-10 days, allowing for incremental movements until you achieve the desired results. Although removable, ensure you wear your aligners for at least 20-22 hours daily, except during meals or when cleaning your teeth.
- Check-in appointments: Visit LifeTime Smiles every 6-8 weeks so we can track the progress of your treatment and make the necessary adjustments.
- Enjoy your new smile: Although every patient is unique, many achieve the desired outcomes within 6-18 months, but complex cases may take longer. Once you achieve the desired results, we recommend a retainer to keep your brand-new smile intact. Otherwise, your teeth can gradually return to their old positions, undoing months of progress.
Invisalign treatment near Haymarket, Virginia, offers many patients an effective and discreet orthodontic solution. When worn and cared for as directed, it delivers fantastic results quickly without compromising comfort or convenience.
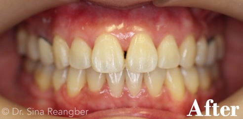
Real Patients, Real Results
LifeTime Smiles – Before and After Images of Patients
Invisalign


Anyone can get Invisalign. I have patients in their 80s, teenagers, and even seven, eight, or nine-year-olds in Invisalign. It isn't just for kids or adults; it's an orthodontic appliance for anyone.
How long does Invisalign take to straighten teeth?
That is a great question, one that I get a lot. Typically, on average, my patients are in it for about a year. Some patients finish sooner, while others take longer. It depends on the crowding or spacing in the patient's mouth and what we're trying to achieve at the end, but on average, it's about a year.
The Invisalign process is simple. Initially, we do an evaluation of the bite and take a scan, a digital iTero scan. We show you what that looks like and see the forces on your teeth. The iTero scan gives you a view of all your teeth and how they come together, showing how heavy you're hitting on specific teeth. The goal is to redistribute your bite forces so that you're hitting more in the back and less in the front. Our front teeth aren't meant to get a lot of chewing force, which can cause chipping, cracking, fractures, and premature wear and tear. The goal is to get the bite evenly distributed.
Once we go over that with you, we take a panoramic X-ray and a series of intraoral and extraoral photos needed for the records to start your orthodontics. Once we get all those records, it takes about four weeks to work up your case. You return for about an hour visit, where we show you how to wear your Invisalign, take care of it, and start your journey.
Most of our patients are great candidates for Invisalign. The things that can disqualify you are typically non-compliance. If you forget to put your aligners in, can't wear anything in your mouth, or won't wear these trays for a year, then Invisalign may not be an option for you. You may want to consider traditional braces, which are stuck to your teeth and can't be taken out. That's really the only thing that could disqualify you.
Is Invisalign painful?
Actually, no. It's not painful at all. My patients who had traditional braces as teenagers and then go into Invisalign due to relapse often ask, "Is this really doing anything?" because it's not hurting. Pain is different for everyone. Some patients may feel a little soreness or tenderness, typically on the first and second day of wearing an aligner. Each time you change an aligner, you might feel some discomfort. We usually suggest taking a couple of Tylenols if needed, and that's about all.
Is Invisalign a covered benefit with insurance?
If you have orthodontic coverage, it is a covered benefit. However, about 93% of adults do not have orthodontic coverage. Most kids may have orthodontic coverage, so Invisalign would be covered, but most adults do not. If you have orthodontic coverage, it doesn't matter whether it's Invisalign or traditional braces; it is an orthodontic treatment, so insurance will cover it.
Learn More About Dental Financing & Insurance
How much does Invisalign cost?
Invisalign costs can vary depending on your location and the office you visit. I've seen it range from $4,000 to $15,000. It depends on where you go, the experience of the doctor, and the area they live in. It can vary a lot.
Is Invisalign Worth It?
Getting Invisalign in Haymarket, Virginia, is an exciting step towards a healthy, beautiful smile. Patients are excited that they can perfect their smile with a solution that fits seamlessly into their lifestyle.
Here’s why Invisalign stands out.
- Discreetness: One of the most notable benefits of Invisalign is that it’s nearly invisible. The clear aligners blend naturally with your teeth, making them hardly noticeable when worn. Discretion is perfect for teens, adults, celebrities, professionals, and anyone insecure with metal braces.
- Comfort: The pliable, customized aligners are designed for optimum comfort. Unlike metal braces with sharp edges and pokey wires, Invisalign is comfortable from start to finish.
- Removable convenience: Since Invisalign aligners are removable, you can eat your favorite foods without restrictions. Oral hygiene is also simpler—you can brush and floss normally without the hassle of wires or brackets.
- Fewer dental visits: We understand life gets busy, and frequent orthodontic appointments can be hectic. With Invisalign, you typically only need check-ins every 6-8 weeks, making it easier to stay on track without disrupting your school, work, or home routine.
- Predictable, personalized outcomes: Advanced technology allows for predictable tooth movement and treatment planning, giving you a clear path to your ideal smile with precision and authentic results.
Is It Time To Meet Your Haymarket Invisalign Dentist?
Looking for a top-rated Invisalign dentist in Haymarket, Virginia? LifeTime Smiles offers high-quality orthodontic care rooted in compassion, personalization, and cutting-edge technology. Call (571) 248-7389 and discover why hundreds of patients have trusted us with their smiles.
Ready to get started? Schedule your appointment below!