Revive Your Smile With Professional Teeth Whitening
If you are looking to revive your smile with professional teeth whitening, you may want to talk to the team at LifeTime Smiles in Haymarket and Gainesville, Virginia, about your options. Drs. Sina Reangber and Scott Koo, and the team are here to provide laser whitening with our Zoom! treatment and offering take-home whitening trays and gels available only through dental practices. The best way to whiten teeth is with the care and attention of an experienced dental professional who offers medical-grade bleaching gels that truly work!
What About Over-The-Counter Whitening?
Professional teeth whitening is much better than any DIY whitening solution available on the market today. Some patients might see it as an indulgence, but it provides the best whitening that goes deep within natural tooth enamel to break up stains and offer brighter results. Many patients find that they are wasting money on over-the-counter products that fail to change the smile noticeably. Patients might also experience side effects such as tooth sensitivity when DIY whitening is performed. When teeth whitening is administered and monitored by a dental professional, patients will notice less sensitivity and more dramatic improvements in the smile!
What Types Of Whitening Are Available?
At LifeTime Smiles, we are pleased to offer two methods of whitening for our patients, including our Zoom professional whitening treatments performed in the office and our custom whitening trays and gels available for patients to take home and use. Some patients combine both, completing an in-office whitening for the first burst of brightening and then continuing to whiten in the privacy of their own home to maintain and improve the results.
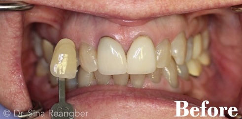
Real Patients, Real Results
LifeTime Smiles – Before and After Images of Patients
Tetracycline Stained Teeth Whitening


Whitening Tetracycline Stained


Whitening and Porcelain Crowns


Schedule A Visit With Our Team Today
Find out if professional teeth whitening is suitable for you! Make an appointment with Drs. Sina Reangber and Scott Koo, and the team at LifeTime Smiles to discuss your options. We also have a wide range of cosmetic solutions that may also be used to enhance the smile, including porcelain veneers and composite resin bonding. Call (571) 248-7389 to request an appointment at the practice, conveniently located at 15234 Washington St. We accept patients of all ages at our state-of-the-art dental facility.