Javascript must be enabled for the correct page display
Hours & Contact
Monday:
10:00am - 7:00pm
Tuesday:
7:00am - 7:00pm
Wednesday & Thursday:
7:00am - 4:00pm
Friday:
7:00am - 2:00pm
Have a question? Give us a call!
(571) 248-7389
Select Language
English
Persian
Spanish
facebook
instagram
linkedin
apple
yelp
google
Main Menu
Menu
Smile Gallery
Services
Emergency Dentist
Family Dentistry
General Dentistry
Dental Cleanings
Dental Sealants
Fluoride Treatment
Gum Disease Prevention
Restorative
Dental Bridges
Dental Crowns
Dental Implants
Dentures
Full Mouth Reconstruction
Tooth-Colored Fillings
Cosmetic
Invisalign
Porcelain Veneers
Smile Makeover
Teeth Whitening
Oral Surgery
Root Canal Therapy
Tooth Extractions
About Us
Meet the Team
Dentists
Hygienists
Support Staff
Testimonials
Office Tour
Blog
Patient Info
Insurance & Financing
Special Offers
Patient Forms
Events
Request an Appointment
Search
Button Bar
Make a Payment
Contact Us
Emergency Appointment
Testimonials
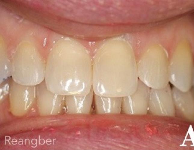
Invisalign 6
Anonymous